Load More
-
A Short Guide for Parents on Expanders for their Child’s Teeth
If the orthodontist of your child mentions an expander, it can feel a bit confusing at first, like, what does ... -
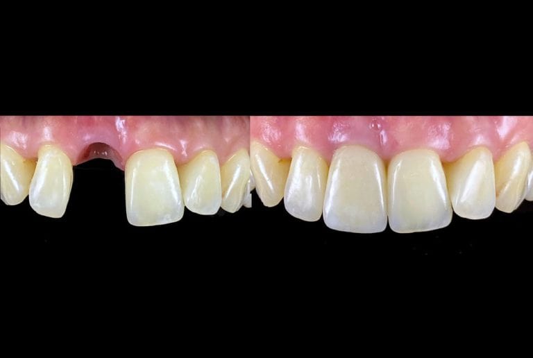
What Is Cosmetic Dentistry and How Can It Improve Your Smile?
Cosmetic dentistry is a modern approach to improving the look of your smile while also supporting your oral health. In ... -
How Sedation Dentistry Can Help During a Dental Emergency
Dental emergencies are often accompanied by intense pain, anxiety, and uncertainty. Whether caused by a severe toothache, a broken tooth, ... -
The Role of Enameloplasty in Smile Makeovers
A beautiful smile is often the result of multiple carefully planned procedures rather than a single dramatic treatment. While veneers, ... -
How to Maintain Healthy Gums and Fresh Breath Through the Holidays
Simple habits to protect your smile during the busiest (and sweetest) season of the year The holiday season is filled ... -
The Value of Community-Oriented Orthodontic Care in Silver Lake
Orthodontic care is not merely about correcting teeth, it is about increasing self-confidence and health and it is about establishing ...
Load More
How Medical Weight Loss Can Help With Hormonal and Metabolic Imbalances
Struggling with weight can often feel like a losing battle, especially when hormones and metabolism are working against you. While ...How to Stay Motivated When Progress Slows Down in Your Weight Loss Plan?
Losing weight is a journey that requires a lot of determination, hard work, and discipline. While in the beginning, we ...How long does the liquid diet last after the gastric sleeve, and why is it ...
After undergoing a gastric sleeve surgery, patients are typically advised to follow a strict liquid diet for a certain amount ...
Load More
























